Let's do some echo:

This forum made possible through the generous support of SDN members, donors, and sponsors. Thank you.
Looks like there are a few other cases being presented so I am going to wrap this up with a couple of points and some pix/clips.

Nice job describing the location of the problem @Hork Bajir . Nothing fancy about this case, but the fun in echo is always figuring out the location of the pathology. As for the repair, our surgeon resected most of a1 and the lateral part of a2 and made a single leaflet out of both of them.

As for the CWD I just wanted to make a small point. When calculating mitral valve area in the presence of concomitant AR, the PHT results in overestimation of MVA. Similarly in combined AR/MR cases, PHT is unreliable. The CWD in this case is unimpressive, yet this patient met all other criteria for severe AR.

  1. LV enlargement (seen in both AR/MR lesions)
  2. VC was over 1 cm.
  3. Jet width/LVOT M-mode was 80%
  4. Large flow convergence with regurgitant jet extending well into the LV.
  5. Holodiastolic flow reversal in the descending aorta.
  6. Didn’t calculate RVol/RF, but really wasn’t needed.

Small point, but likely tested on the boards.
Case went smooth as ice. Came off on homeopathic norepinephrine.
 

Attachments

  • AR.jpg
    AR.jpg
    178.2 KB · Views: 89
  • IMG_3445.jpg
    IMG_3445.jpg
    236.8 KB · Views: 85
Ohh and here is the Zebra.

Diagnosis please.


The thing in the RA? Too solid for chiari, too long for eustachian. Fairly echogenic... Is it the tip of a catheter about to cross the septum? Idk

Or is there something else?
 
Sevo is it one of them congenital issues thats been fixed or partway fixed?

100% congenital uncorrected. Not like a glenn or fontan or anything like that. Congenital and uncorrected like an adult presentation of cortriatrium but much more common.
 
In some cases it can cause mixing of deoxygenated blood on the left side, can be the culprit behind cryptogenic strokes, problems with initiating cardiac protection during pump runs, even CVL placement. 😉
 
@sevoflurane nice pic of that pathology... Did you by any chance have an IV in the left arm?

I’m pretty sure I saw a PA line place into that structure last week (and that patient didn’t even have the congenital issue you’re referring to- this was just dumb luck on behalf of the CA1 floating the PA line...)
 
That is definitely the test when you are in the OR. I've done it a bunch of times and it's easy to do after induction and super fun to see as you will see agitated bubbles come through the CS b/4 the RA. Pulled out my 10+ year old Mathews to get a few more views for comparison.
Some nostalgia in that book.

tempImagebLr8aX.jpg
 
Last edited:
Regarding mixing of deox blood and cryptogenic strokes... PLSVC is commonly associated with unroofing of the CS- board question.

Also... if you see this on a chart, try to avoid left CVL's--> AV groove dissection is an awful complication with high morbidity (unlikely, but possible).
 
Last edited:
Something else. What if i told you the RA isn’t present in that clip?
So in that clip, what are we seeing? The circle on the top left is coronary sinus? If so, what's the circle on the top right? Also coronary sinus? Or is that where we're starting to see the PLSVC?
 
The opposite. I feel like I need a little more context.
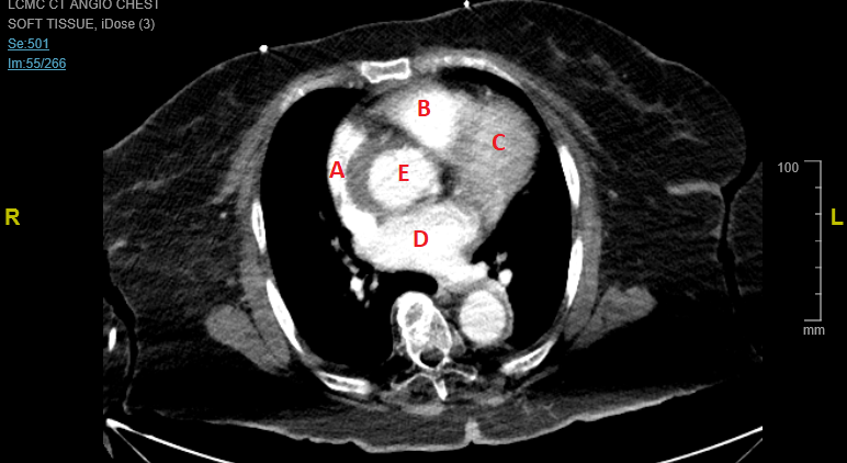
Both the 2nd clip and the CT contain the pathology in plain sight. It's a somewhat more finding on the 2nd clip because of overgaining but it's not subtle at all on the CT- your eye just needs to know what it's looking at. There is a differential for pathologies that cause compression or distortion of the heart....run through them.
 
Intramural hematoma 2/2 asc. dissection? Right side compression from pericardial blood...guessing not visible in that particular 4 chamber view.
 
Intramural hematoma 2/2 asc. dissection? Right side compression from pericardial blood...guessing not visible in that particular 4 chamber view.

Yep, (big) intramural hematoma. Do you see a dissection flap?

Regarding pericardial effusion, look at the CT. Identify the anatomy. Tell me what you see. What does pericardial effusion look like on that modality?
 
Yep, (big) intramural hematoma. Do you see a dissection flap?

Regarding pericardial effusion, look at the CT. Identify the anatomy. Tell me what you see. What does pericardial effusion look like on that modality?
Yeah...see a flap on the ascending long axis there. E= Ao B= RV C=LV D= LA A =RA.....but I think I see your point...almost looks like the right sided compression is coming from the hematoma? At least impeding RV filling, anyway...
 
Yep, (big) intramural hematoma. Do you see a dissection flap?

Regarding pericardial effusion, look at the CT. Identify the anatomy. Tell me what you see. What does pericardial effusion look like on that modality?
Okay so is the 2nd image the SAX of ascending aorta with the PA going past it? I think that image is the one that was throwing me off so hard.

I also don't really appreciate much effusion on the images. Maybe I'm getting dumber. Please provide big red arrows haha.
 
Another bread and butter case:

50 y/o male admitted to the hospital for progressive SOB. EF 10% on admission. Tuned up for a few weeks b4 surgery and brought to the OR for MVR. You hook up monitors. Resting HR is 130 bpm. After careful induction you obtain the following images.

Comments?
 
It’s just a number cards put in their echo report. But yes.... 10% is analogous for really really bad might die at any moment needs balloon/ecmo/impella right now.
 
I wouldn't get hung up on the number. Just it’s meaning.
 
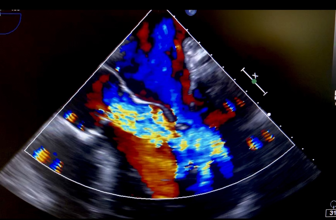
Looks like severe eccentric anteriorly directed MR. Probably a P2 flail. How is this dude getting any forward flow at all with that bad of MR and a **** LV? What were the PAPs on this guy?
 
Looks like severe eccentric anteriorly directed MR. Probably a P2 flail. How is this dude getting any forward flow at all with that bad of MR and a **** LV? What were the PAPs on this guy?

Yup p2 flail with several ruptured chords very obvious on 3D. After 2 weeks of tuning up this patient his EF is definitely higher. Probably closer to 35% (he came in with acute decompensated CHF)

Any other comments on the last clip?
 
Yup p2 flail with several ruptured chords very obvious on 3D. After 2 weeks of tuning up this patient his EF is definitely higher. Probably closer to 35% (he came in with acute decompensated CHF)

Any other comments on the last clip?
D-shaped LV/septal flattening indicative of RV pressure/volume overload (going too fast for my eyeballs to tell if it's more during systole vs diastole). Is that like an RV aneurysm or something? It's ballooned out so far around the LV it's definitely more than your usual crescent shape.
 
D-shaped LV/septal flattening indicative of RV pressure/volume overload (going too fast for my eyeballs to tell if it's more during systole vs diastole). Is that like an RV aneurysm or something? It's ballooned out so far around the LV it's definitely more than your usual crescent shape.
It’s probably some degree of pressure and volume overload. And my guess is the RV is probably not aneurysmal, but rather it’s one of those in between views where with anteflexion you’re picking up some of the RVOT near the bottom the screen.

Even before getting to the third image, one can tell from looking at the 3D full volume that the TV annulus is enormous, the RV is likely severely enlarged, and significant TR might be present. The TG SAX reveals that RV function is also mildly to moderately reduced. May also need TV banding and significant inotropic support/NO.
 
Is there really a such a thing as 10% EF? I'd been told previously that wasn't compatible with life.

EF is a percentage only. To think about how these guys live with 10-20% EFs think about it like this; CO is determined by SV ( multiplied x HR), and low EF guys have “compensated” for reduced function by dilating. They still produce a CO compatible with life by ejecting a normal-ish SV despite it being a low percentage of total EDV.

This falls apart with acute MR etc however.
 
Top